En la práctica clínica diaria, la panosteítis canina debe considerarse ante episodios recurrentes de fiebre acompañados de cojera en pacientes jóvenes, que plantean un desafío diagnóstico relevante.
Reconocer estas entidades autolimitantes permite orientar el manejo clínico, reducir la incertidumbre diagnóstica y ofrecer un pronóstico claro a los tutores.
Motivo de consulta
- Segunda opinión de fiebre de origen desconocido
Anamnesis
Paciente macho no esterilizado de 1 año y tres meses de edad que se presenta en consulta por una segunda opinión de una fiebre de origen desconocido.
La familia refiere que el cuadro empezó con 6 meses de edad del paciente, con unos episodios de fiebre, apatía y debilidad extrema, a la vez que una cojera de la extremidad posterior izquierda. En aquel momento acudieron a su veterinario, quien empezó a realizar un tratamiento sintomático.
Cuatro meses más tarde presentó un nuevo episodio, en el que volvía a presentar una fiebre de 40ºC, apatía y anorexia.
- En aquel momento empezaron un protocolo diagnóstico de fiebre de origen desconocido, realizaron analíticas sanguíneas donde se apreciaba una leve leucocitosis, radiografías abdominales, ecografía abdominal y tomaron muestra para cultivo de orina, LCR y líquido sinovial, sin hallazgos significativos.
- Transcurrida una semana el paciente empezó a mejorar, nuevamente con tratamiento sintomático y antipiréticos.
Hace unos días empezó de nuevo otro episodio de fiebre de 40,5ºC acompañado de una cojera de la extremidad anterior derecha. En esta ocasión, no ha perdido el apetito y no lo ven tan apático. Su veterinario le administró antipirético sintomático a lo que parece que ha respondido favorablemente.
Durante el crecimiento le han dado pienso RC puppy y han pasado ya al de adulto.
En esta anamnesis, como vemos, le han realizado un protocolo de fiebre de origen desconocido, centrándose en la fiebre como principal síntoma del paciente.
- Sin embargo, en todas las crisis ha referido debilidad y cojera, lo cual es un punto clave.
- Al preguntar a la familia comentan que no le han realizado una visita con un traumatólogo ni le han realizado radiografías de las extremidades afectadas. Únicamente, se analizó el líquido sinovial.
Examen físico
Fiebre de 40,6ºC en el momento de la consulta, pulso FRISS, mucosas rosadas y humedecidas, TRC <2”, auscultación cardiopulmonar sin anomalías, abdomen depresible sin dolor.
Examen ortopédico
Durante el examen de la marcha en el momento de la consulta se detecta una cojera de grado II de la extremidad anterior derecha, con leve descarga de peso en estación de dicha extremidad.
- Durante el examen ortopédico no se detectan asimetrías ni efusión sinovial durante la palpación
- El rango de movilidad articular es correcto en todas las articulaciones, con una leve molestia a la flexión del codo derecho
- El paciente presenta un dolor claro a la palpación profunda de la diáfisis humeral derecha a nivel distal
Diagnóstico diferencial
Ante un paciente cachorro de raza grande que se presenta con fiebre de origen desconocido, cojera aguda y dolor marcado a la palpación ósea, se establecieron varios diagnósticos diferenciales.
En primer lugar, se consideraron los procesos inflamatorios óseos asociados al crecimiento, como la panosteítis y la osteodistrofia hipertrófica, que suele localizarse mayoritariamente en zonas de metáfisis. También se contemplaron procesos infecciosos, principalmente la osteomielitis.
Asimismo, se consideraron patologías del crecimiento que pueden presentarse de manera concomitante, como una OCD o la enfermedad del compartimento medial de codo.
Igualmente, se valoraron otras posibles causas de cojera y dolor. Entre ellas, la patología traumática, poco probable sin historial previo y al presentarse en distintas extremidades. También la poliartritis, que suele cursar con efusión articular y dolor más localizado en las articulaciones y no en la diáfisis.
Finalmente, aunque menos probable debido a la edad del paciente, se consideraron procesos neoplásicos óseos o hematopoyéticos.
Pruebas diagnósticas
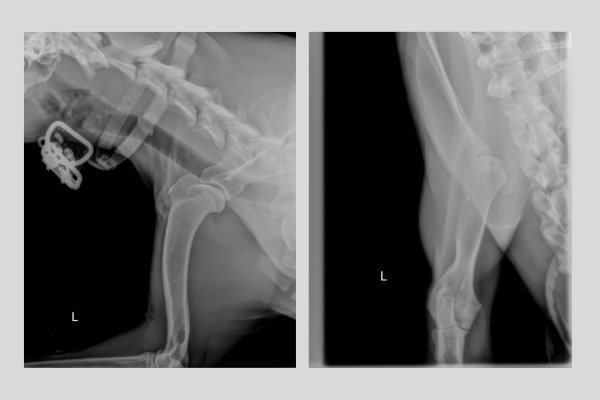
Se realizan radiografías ortogonales del húmero dado que nos pueden orientar en nuestros diagnósticos diferenciales.
En ellas se detecta un aumento de opacidad del canal medular en el tercio distal del húmero derecho.
Diagnóstico
Con las imágenes radiológicas el diagnóstico de panosteitis se confirma.


Tratamiento
Se aplica tratamiento con AINEs en este caso se administra una dosis inicial de robenacoxib (Onsior®) a 2mg/kg SC SID y se pauta como tratamiento ambulatorio a 1mg/kg PO SID.
- En ciertas ocasiones si el paciente lo requiere se puede administrar analgesia coadyuvante, en este caso, con la sintomatología presentada por el paciente en el momento de consulta se pauta únicamente AINE mencionado y se comenta a la familia que contacten con nuestro centro según la evolución.
Así mismo, el paciente está con una dieta de pienso seco de cachorros, la cual se mantiene y se administra así mismo, un condroprotector (Condrovet®).
Se aconseja realizar reposo con el paciente, intentando evitar ejercicios de impacto.
- Se revisa el paciente a los 7 días de tratamiento, en los que se detecta una mejoría completa y una desaparición de los síntomas, sin presentar fiebre, cojera, ni alteraciones en el examen ortopédico.
- Se comenta a los tutores que por edad aún puede presentar alguna recidiva.
- Se contacta con ellos para la realización de este artículo y comentan que no volvió a presentar ningún otro episodio.
Comentarios clínicos sobre la panosteítis canina
La panosteitis es una enfermedad inflamatoria y autolimitante que afecta principalmente la cavidad medular de los huesos largos en perros jóvenes de raza grande y crecimiento rápido.
- La edad de presentación más frecuente es entre 5 y 12 meses, pudiéndose presentar hasta en algunos casos 5 años.
- Se ha detectado una sobrerepresentación de machos respecto a hembras con una ratio de 4 : 1.
Actualmente su etiología no está completamente definida habiéndose propuesto un proceso infeccioso, enfermedades metabólicas, disfunciones endocrinas, alergia,s mecanimsos autominunes, factores hereditarios. La infección vírica aparece como una de las causas más probables.
- El diagnóstico, tal y como se ha visto en el caso, puede obtenerse mediante una correcta anamnesis, un examen físico y ortopédico.
- Generalmente, las radiografías suelen ser diagnósticas según el estadio de la enfermedad en el momento de la evaluación, pudiendo detectarse asimismo mediante TC o RM.
En casos iniciales puede no haber cambios radiológicos por lo que siempre debe considerarse en el diagnóstico diferencial de pacientes jóvenes con fiebre, cojera sin un traumatismo aparente y sobre todo cuando detectamos dolor a la palpación profunda de los huesos largos, maniobra que será siempre indispensable en cualquier examen ortopédico.
Como se ha comentado, se trata de una enfermedad autolimitante, por lo que el objetivo del tratamiento será de soporte consistiendo en reposo y AINE/ analgésicos.
- El pronóstico es favorable, con resolución espontánea del cuadro conforme finaliza el crecimiento, siendo el tratamiento principalmente sintomático y orientado al control del dolor.
- Un reconocimiento precoz de esta entidad permite evitar pruebas diagnósticas invasivas innecesarias y establecer expectativas realistas con los propietarios.
Bibliografía: Moreira, L. P., Zocatelli, T. F., & Amaral, C. B. (2023). Canine panosteitis and preventive veterinary measures: insights from a case series. Bulletin of the National Research Centre 47:179. doi:10.1186/s42269-023-01153-3. JC Turnier, S Silverman. A case study of canine panosteitis: comparison of radiographic and radioisotopic studies. 1978 Sep;39(9):1550-2. AM J Vet.Res. P Schawalder 1, H U Andres, K Jutzi, C Stoupis, C Bösch (2002) Canine panosteitis: an idiopathic bone disease investigated in the light of a new hypothesis concerning pathogenesis. Part 1: Clinical and diagnostic aspects. Mar;144(3):115-30. Nina R Kieves. 2021. Juvenile Disease Processes Affecting the Forelimb in Canines Mar;51(2):365-382. Vet clin north am small anim pract. Brinker, Piermatetei and Flo’s. 2016. Handbook of Small Animal Orthopedics and Fracture Repair. El Sevier, fifth edition. Karen M Tobias. Spencer A. Johston. 2023. Cirugía Veterinaria de Pequeños animales. Edra, Segunda Edición.















